мрт
Результат поиска: найдено 20 материалов.
Пишу пост для девочек, которые, как я когда то, ищут информацию о вероятности врастания плаценты в шов. Так вот, на 11 неделе доктор сообщил, что плацента у мен по передней стенке и предупредил, что после двух КС, если плацента располагается на передней стенке, она может врасти в шов. Особенно, если качество плаценты не самое лучшее. Последствия у такого явления очень неприятные, как минимум сложная операция, максимум удаление матки. Назначила препараты и узи на 15 неделе. Читать далее»
+18
|
7 октября 2022 года | 204 | 1 | 6 комментариев |
Всем доброго времени суток. Подскажите, пожалуйста, безопасно ли МРТ с контрастом ребенок 16 лет?
+7
|
27 января 2019 года | 182 | 0 | 13 комментариев |
Девочки, где в Москве можно быстро сделать МРТ? Чтоб совсем без предварительной записи. У мужу спину прихватило так, что даже сидеть не может. Похоже грыжа у него. Скорая приезжала, даже блокаду не сделали без снимков, вдруг, говорят, онкология, они не имеют право обезболивать все подряд.
+6
|
13 декабря 2018 года | 93 | 1 | 10 комментариев |
Сыну 12 лет, в последнее время жалуется на головную боль, прежде чем идти к врачу - неврологу, нужно проити мрт. Посмотрела праис и там очень большой список
Головной мозг
Гипофиз
Глазные орбиты и зрительный нерв
Придаточные пазухи носа (синусы)
Артерии головного мозга
Вены головного мозга Читать далее»
Головной мозг
Гипофиз
Глазные орбиты и зрительный нерв
Придаточные пазухи носа (синусы)
Артерии головного мозга
Вены головного мозга Читать далее»
+8
|
11 мая 2017 года | 257 | 0 | 27 комментариев |
Кому назначали деткам мрт с диагнозом эпи, как себя вели детки, как проходит оформление по квоте, и ещё вопрос без инвалидности дают препараты бесплатно, дети старше трёх лет.
+6
|
8 февраля 2017 года | 184 | 0 | 42 комментария |
Добрый день!
Были в Бурденко на консультации, показывали мрт и прочие выписки.
Задето белое и серое вещество, но операция нам ничего не принесет.
Тем кто желает проконсультироваться, берите направление в поликлинике и сразу в центр. По телефону на консультацию не записывают. Я приезжала без ребенка на запись (во вторник), а в четверг уже разговаривали с нейрохирургом. Всё быстро!!!
Были в Бурденко на консультации, показывали мрт и прочие выписки.
Задето белое и серое вещество, но операция нам ничего не принесет.
Тем кто желает проконсультироваться, берите направление в поликлинике и сразу в центр. По телефону на консультацию не записывают. Я приезжала без ребенка на запись (во вторник), а в четверг уже разговаривали с нейрохирургом. Всё быстро!!!
+6
|
3 февраля 2017 года | 136 | 0 | 1 комментарий |
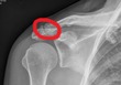
Добрый день!Подскажите, пожалуйста, к какому врачу обратиться с болями в АКС (акромиально-ключичного сочленения), чтобы хотя бы диагноз верный узнать? Вот отметила где болит, при долгих нагрузках начинает болеть и вся ключица.
Расскажу предысторию. Эти боли у меня уже 3 года. Боли ноющего характера, обостряются при движении в области сустава и при физической нагрузке (если утром сделал уборку, к вечеру валяешься с болями, на следующий день утихают до первоначального уровня). Читать далее»
+7
|
6 декабря 2016 года | 187 | 1 | 25 комментариев |
Случилась у меня проблема: боль в области левого бедра. Думала, проблема с тазобедренным суставом, травматоолог назначил рентген - все хорошо там, сустав в норме.. Сказал, что проблемы скорее всего в поясничном отделе позвоночника и назначил КТ этой области.
По совету мамы я решила пойти к мануальному терапевту, пока он делал массаж, вроде бы было все ок, было 5 сеансов, он сказал, что проблема в воспаленном седалищном нерве. Читать далее»
По совету мамы я решила пойти к мануальному терапевту, пока он делал массаж, вроде бы было все ок, было 5 сеансов, он сказал, что проблема в воспаленном седалищном нерве. Читать далее»
+9
|
2 ноября 2016 года | 268 | 3 | 28 комментариев |
Выявить скрытое. Кому необходима МРТ Суть метода
Этот метод обследования позволяет оценить состояние органов и тканей с помощью воздействия на них магнитным полем. Принцип действия прибора основан на сложном физическом явлении ядерно-магнитного резонанса. В результате процедуры получается ряд послойных снимков, которые дают врачу представление о строении исследуемого участка тела и изменениях в нём. Читать далее»
+1
|
23 мая 2016 года | 15 | 0 | 0 комментариев |
Еду на мрт и чувствую, что назначат-таки мне операцию. Коленка совсем не держится, ногу то вперед, то назад выкручивает. Не сильно болит, но на ночь нужно обезболивающее. Еще и отекает с первого же шага. Короче, совсем не весело...
+3
|
11 ноября 2015 года | 63 | 0 | 5 комментариев |
Страницы:
1
2
Следующая →



